Công ty Cổ phần Tạp chí Doanh nhân và Pháp luật

AI - 'con mắt thứ ba' giúp bác sĩ phát hiện sớm ung thư từ dấu hiệu nhỏ

20:08 | 19/12/2025 Lượt xem: 138

Trí tuệ nhân tạo (AI) đang tạo nên những đột phá mới trong lĩnh vực y tế, đặc biệt là trong việc chẩn đoán sớm các bệnh ung thư.

Bệnh viện 19-8 (Bộ Công an) vừa tiếp nhận bệnh nhân ngoài 50 tuổi đến khám trong tình trạng liên tục đau bụng, thỉnh thoảng đại tiện ra máu. Các bác sĩ khoa Nội tiêu hóa thực hiện nội soi dạ dày, đại trực tràng, với sự hỗ trợ của công nghệ AI (trí tuệ nhân tạo).

AI "đọc" ra tổn thương của người bệnh là u tân sinh. Bệnh nhân được cắt bỏ tổn thương có kích thước 20mm ngay trong quá trình nội soi. Kết quả giải phẫu bệnh sau cắt phù hợp với chẩn đoán ban đầu: bệnh nhân bị u ống tuyến kèm loạn sản độ cao, tiền ung thư đại trực tràng.

AI giúp bác sĩ phát hiện sớm ung thư từ những dấu hiệu mờ nhạt.

AI giúp bác sĩ phát hiện sớm ung thư từ những dấu hiệu mờ nhạt.

Bác sĩ Nguyễn Việt Dũng, Trưởng khoa Nội tiêu hóa của bệnh viện cho biết đường tiêu hóa là một trong những bệnh chiếm tỷ lệ cao nhất tại Việt Nam, nên bệnh viện đã triển khai ứng dụng AI trong chẩn đoán, nội soi tiêu hóa nhằm phát hiện sớm tổn thương đường tiêu hóa, đặc biệt phát hiện từ giai đoạn tiền ung thư từ năm 2022.

Trong nội soi tiêu hóa, hình ảnh rất quan trọng. Với những tổn thương nhỏ, vị trí khó, nếu quan sát bằng mắt thường, bác sĩ có nguy cơ bỏ sót. Hiện tỷ lệ bỏ sót các trường hợp ung thư đường tiêu hóa trên nội soi khoảng 11,3%. AI giống như "con mắt thứ 3" hỗ trợ bác sĩ tránh bỏ sót tổn thương, giúp phát hiện tổn thương nhỏ hoặc ở vị trí khó quan sát, giúp nâng cao tỷ lệ phát hiện, tránh bỏ sót tổn thương, góp phần đáp ứng nhu cầu tầm soát, sàng lọc polyp và tầm soát ung thư lên tới trên 95%.

AI cũng hỗ trợ bác sĩ đọc và phân loại được tổn thương cho người bệnh. Điều này càng có ý nghĩa hơn trong bối cảnh bác sĩ tiêu hóa tại Việt Nam đang phải chịu đựng áp lực guồng làm việc rất lớn khi thực hiện hàng chục ca nội soi tiêu hóa mỗi ngày. Sự hỗ trợ của AI giống như người bạn song hành, báo hiệu cho bác sĩ có bỏ sót tổn thương hay không.

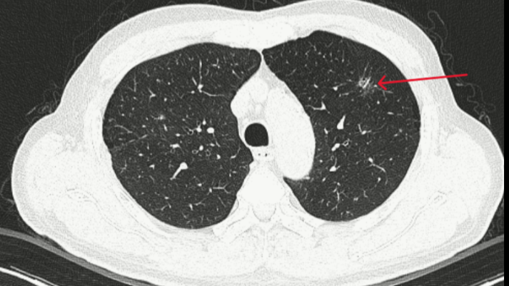
Tại Bệnh viện Bạch Mai, nam bệnh nhân ở Ninh Bình được AI phát hiện tổn thương thùy phổi phải và nguy cơ ung thư ác tính. Bệnh nhân đến khám tổng thể, không có dấu hiệu gì điển hình, ngay khi chụp X quang cũng chỉ phát hiện có đám mờ ở phổi.

Dù được làm thêm các xét nghiệm cận lâm sàng khác như nội soi phế quản, cuống họng... cũng chưa có gì đáng chú ý. Tuy nhiên, khi đưa các chỉ số của bệnh nhân vào phần mềm và AI hỗ trợ phân tích cho thấy, bệnh nhân được xác định bị tổn thương ở thùy phổi phải và nguy cơ ung thư ác tính.

Từ gợi ý đó, bác sĩ quyết định cho bệnh nhân chụp CT lồng ngực. Kết quả đúng như phân tích, máy tự động đọc và nhận diện ra tổn thương với đám mờ phổi chính là triệu chứng thời kỳ đầu của ung thư phổi.

Bệnh viện Hùng Vương (TP.HCM) sử dụng công nghệ CerviCare AI để tầm soát ung thư cổ tử cung. Đây là kỹ thuật mới, giúp tầm soát ung thư cổ tử cung mà không phải thực hiện kỹ thuật Pap smear quen thuộc.

Ngay sau khi thực hiện tầm soát, các chị em nhận được hình ảnh soi cổ tử cung, AI thông báo ngay kết quả. Theo PGS.TS Hoàng Quốc Cường (Hội Thầy thuốc trẻ Việt Nam), AI sàng lọc ung thư cổ tử cung có độ nhạy lên đến 98%.

AI được ví như

AI được ví như "con mắt thứ ba" phát hiện ung thư.

Một số bệnh viện lớn và trung tâm nghiên cứu cũng tiên phong trong việc sử dụng trí tuệ nhân tạo để nâng cao chất lượng chăm sóc sức khỏe và cải thiện quy trình quản lý bệnh nhân. Các bệnh viện lớn như Bệnh viện Bạch Mai, Bệnh viện Chợ Rẫy, Bệnh viện Trung ương Huế, Bệnh viện K... sử dụng các hệ thống trí tuệ nhân tạo trong việc phân tích hình ảnh y khoa và hỗ trợ chẩn đoán. Các hệ thống này giúp bác sĩ phát hiện sớm các dấu hiệu của ung thư, bệnh tim mạch, và các bệnh lý thần kinh thông qua phân tích dữ liệu từ các hình ảnh X-quang, CT scan, và MRI.

Giáo sư Mai Trọng Khoa - Phó Chủ tịch Hội Điện Quang và Y học hạt nhân Việt Nam, nguyên Phó Giám đốc Bệnh viện Bạch Mai cho biết, tại Việt Nam, ứng dụng AI là lĩnh vực mới, hiện có vai trò chẩn đoán nhiều bệnh lý khác nhau, đặc biệt là ung thư, từ đó giúp cho việc đưa ra các quyết định điều trị được chính xác, kịp thời, hiệu quả.

“Chẩn đoán hình ảnh là lĩnh vực hàng đầu ứng dụng AI. AI giúp chẩn đoán nhanh và chính xác hơn nhờ khả năng tích hợp dữ liệu đa chiều” - GS Khoa phân tích.

Công nghệ này cũng giúp phát hiện sớm ung thư gan qua CT-scan hoặc cộng hưởng từ, chẩn đoán tổn thương nội soi chính xác hơn, đồng thời giảm sai sót trong phân tích giải phẫu bệnh. AI còn được ứng dụng trong các ứng dụng trên smartphone để hỗ trợ bệnh nhân quản lý các bệnh mãn tính như tiểu đường, tăng huyết áp và viêm gan B.

Nguồn: VTC NEWS

Tin liên quan

Trên đường đi công tác, bác sĩ Nguyễn Huy Tiến dừng xe giữa phố, quỳ xuống ép tim cho thanh niên tím tái, giành lại nhịp thở trong vài phút.

20:08 | 19/12/2025

Tổ chức Y tế Thế giới hỗ trợ khẩn cấp thuốc giải độc Botulism Antitoxin Heptavalent để cứu mạng 3 người ngộ độc nguy kịch ở TP Đà Nẵng.

20:08 | 19/12/2025

Sở Y tế tỉnh Đồng Tháp xác định nguyên nhân vụ ngộ độc khiến hơn 80 người nhập viện sau khi ăn bánh mì kẹp thịt của cơ sở Hồng Ngọc 12.

20:08 | 19/12/2025

Chi cục Quản lý thị trường vừa hoàn tất hồ sơ chuyển Cơ quan Cảnh sát điều tra - Công an tỉnh Đắk Lắk truy cứu trách nhiệm hình sự đối với đối tượng liên quan đến vụ việc có dấu hiệu của tội sản xuất hàng giả là gần 90 tấn phân bón với giá trị hơn 1 tỷ đồng.

20:08 | 19/12/2025

Ngành y tế Việt Nam đang từng bước chuyển mạnh từ tư duy “chữa bệnh là chính” sang “chủ động phòng bệnh”, đặt người dân vào vị trí trung tâm trong các chính sách chăm sóc sức khỏe. Việc ban hành và triển khai Luật Phòng bệnh được xem là bước đi quan trọng nhằm hoàn thiện khung pháp lý, nâng cao hiệu quả công tác y tế dự phòng và bảo vệ sức khỏe cộng đồng trong giai đoạn mới.

20:08 | 19/12/2025

Tin mới nhất

    Liên quan vụ bé trai 10 tuổi ở Đắk Lắk với nhiều vết bầm tím gây xôn xao dư luận, cơ quan chức năng xác định người cha đã dùng roi đánh để răn đe và đã bị xử phạt hành chính 7,5 triệu đồng, không xử lý hình sự.
    17/03/2026
    Trên đường đi công tác, bác sĩ Nguyễn Huy Tiến dừng xe giữa phố, quỳ xuống ép tim cho thanh niên tím tái, giành lại nhịp thở trong vài phút.
    17/03/2026
    Với hệ sinh thái thông tin từ HueToplist, việc khám phá Cố đô giờ đây trở nên chủ động, thuận tiện và đáng tin cậy hơn bao giờ hết.
    17/03/2026
    Để tìm kiếm thông tin chính xác, dễ tiếp cận, BinhDinhToplist là địa chỉ tham khảo tin cậy cho du khách và người dân.
    17/03/2026
    Thế giới đã xả hơn 400 triệu thùng dầu dự trữ nhưng giá vẫn neo cao, giá xăng dầu trong nước bao giờ hạ nhiệt?
    17/03/2026
    Giá vàng miếng SJC, vàng nhẫn giảm trở lại nhưng vẫn đang cao hơn giá thế giới trên 23 triệu đồng/lượng.
    17/03/2026
    Tổ chức Y tế Thế giới hỗ trợ khẩn cấp thuốc giải độc Botulism Antitoxin Heptavalent để cứu mạng 3 người ngộ độc nguy kịch ở TP Đà Nẵng.
    17/03/2026
    Sở Y tế tỉnh Đồng Tháp xác định nguyên nhân vụ ngộ độc khiến hơn 80 người nhập viện sau khi ăn bánh mì kẹp thịt của cơ sở Hồng Ngọc 12.
    17/03/2026
    Một đường dây mại dâm trẻ em núp bóng quán cà phê tại TPHCM đã bị đưa ra ánh sáng
    17/03/2026
    Đào Hữu Huyền, Chủ tịch Tập đoàn Hóa chất Đức Giang, đã bị Cơ quan Cảnh sát điều tra Bộ Công an khởi tố, bắt tạm giam với cáo buộc về 3 tội danh.
    17/03/2026
    Tổng Bí thư Tô Lâm đề nghị Học viện Kỹ thuật quân sự đầu tư nguồn lực, nghiên cứu, thiết kế, chế tạo các loại vũ khí, trang bị kỹ thuật hiện đại.
    17/03/2026
    Nhiều trường đại học tại TP.HCM đã công bố lịch nghỉ lễ Giỗ Tổ Hùng Vương và dịp 30/4 – 1/5 năm 2026. Trong đó, một số trường sắp xếp lịch nghỉ kéo dài, giúp sinh viên có thể nghỉ liên tiếp tới 9 ngày.
    17/03/2026
    Tập đoàn Công nghiệp – Viễn thông Quân đội (Viettel) được xếp hạng là thương hiệu có sức mạnh đứng đầu trong tất cả các nhà mạng viễn thông trên thế giới, với chỉ số Sức mạnh Thương hiệu (Brand Strength Index - BSI) đạt 89,9/100 và xếp hạng AAA+, mức cao nhất theo thang đánh giá của Brand Finance, công ty định giá thương hiệu hàng đầu thế giới.
    17/03/2026
    Chính phủ vừa ban hành Nghị quyết số 46/NQ-CP về tổ chức thẩm định điều chỉnh chủ trương đầu tư dự án điện hạt nhân Ninh Thuận 1.
    17/03/2026
    Theo tỷ phú Elon Musk, Việt Nam không chỉ là một thị trường tiêu thụ dịch vụ internet vệ tinh mà còn là một đối tác chiến lược quan trọng trong chuỗi cung ứng toàn cầu.
    17/03/2026
    Trong bối cảnh xã hội ngày càng phát triển và nhu cầu xây dựng, hoàn thiện hệ thống pháp luật ngày càng cao, ngành Luật được đánh giá là lĩnh vực có nhiều cơ hội nghề nghiệp. Người tốt nghiệp ngành này có thể làm việc ở nhiều môi trường khác nhau, từ cơ quan nhà nước, doanh nghiệp đến các tổ chức pháp lý và cơ sở đào tạo.
    17/03/2026
    Chi cục Quản lý thị trường vừa hoàn tất hồ sơ chuyển Cơ quan Cảnh sát điều tra - Công an tỉnh Đắk Lắk truy cứu trách nhiệm hình sự đối với đối tượng liên quan đến vụ việc có dấu hiệu của tội sản xuất hàng giả là gần 90 tấn phân bón với giá trị hơn 1 tỷ đồng.
    17/03/2026
    Ngành y tế Việt Nam đang từng bước chuyển mạnh từ tư duy “chữa bệnh là chính” sang “chủ động phòng bệnh”, đặt người dân vào vị trí trung tâm trong các chính sách chăm sóc sức khỏe. Việc ban hành và triển khai Luật Phòng bệnh được xem là bước đi quan trọng nhằm hoàn thiện khung pháp lý, nâng cao hiệu quả công tác y tế dự phòng và bảo vệ sức khỏe cộng đồng trong giai đoạn mới.
    17/03/2026
    Trước quy định mới về cơ cấu cổ đông dự kiến áp dụng từ năm 2026, nhiều doanh nghiệp bảo hiểm cho rằng việc đáp ứng các tiêu chí hiện hành còn gặp khó khăn. Vì vậy, các doanh nghiệp kiến nghị lùi thời điểm thực hiện để có thêm thời gian chuẩn bị.
    17/03/2026
    Năm 2026, Eximbank đặt mục tiêu lợi nhuận trước thuế đạt 4.066 tỷ đồng, gấp 2,7 lần kết quả năm 2025, tương đương tăng 169%.
    17/03/2026
    Những thông tin mới xoay quanh thị trường tài sản mã hóa đang góp phần khuấy động cho nhóm cổ phiếu Chứng khoán, trong bối cảnh thị trường vừa trải qua nhịp điều chỉnh tương đối mạnh. Đáng chú ý, 3 cổ phiếu tỷ USD được IPO cuối năm 2025 đều đã giúp nhà đầu tư "vào bờ".
    17/03/2026
    TP HCM tiếp tục tháo gỡ các vướng mắc pháp lý tại nhiều dự án bất động sản, trong đó ba dự án nhà ở vừa được Tổ công tác 1645 xem xét để đẩy nhanh việc cấp sổ hồng cho cư dân sau thời gian dài đình trệ.
    17/03/2026
    Gần đây, giá vàng liên tục giảm mạnh, nhiều nhà đầu tư băn khoăn có nên xuống tiền mua vàng lúc này?
    16/03/2026
    Lúa gạo từ lâu đã gắn bó mật thiết với đời sống kinh tế - xã hội của Việt Nam. Không chỉ là nguồn lương thực chính của hơn 100 triệu dân, lúa gạo còn là mặt hàng xuất khẩu quan trọng, đóng góp lớn cho tăng trưởng nông nghiệp và an ninh lương thực toàn cầu.
    16/03/2026
    Trước đó, ngày 11/3/2026, trong quá trình tuần tra bảo đảm an ninh, trật tự phục vụ Cuộc bầu cử đại biểu Quốc hội khóa XVI và đại biểu HĐND các cấp, Công an xã Đường Hồng (Tuyên Quang) đã phát hiện và kịp thời ngăn chặn một nhóm đối tượng có dấu hiệu chuẩn bị khai thác khoáng sản trái phép trên địa bàn.
    15/03/2026
    Những ngày đầu xuân, cánh đồng hoa hướng dương rộng lớn trên quê hương Bác Hồ đang vào mùa nở rộ, rực vàng cả một khoảng trời, hút du khách tham quan, chụp ảnh.
    15/03/2026
    Năm 2026 đánh dấu bước chuyển mình mạnh mẽ của nông nghiệp Hải Phòng. Không còn là những mảnh vườn nhỏ lẻ, thành phố Cảng đã hình thành nên những "vành đai xanh" công nghệ cao, cung ứng nguồn nông sản sạch không chỉ cho nội đô mà còn vươn tầm xuất khẩu.
    15/03/2026
    Cơ quan thuế yêu cầu các tổ chức, doanh nghiệp tuân thủ nghiêm quy định khi quyết toán thuế thu nhập cá nhân năm 2025, đặc biệt nghiêm cấm việc sử dụng thông tin cá nhân khi chưa thực tế chi trả thu nhập để kê khai chi phí tiền lương.
    15/03/2026
    FIFA vừa gỡ 2 trong số 4 lệnh cấm chuyển nhượng cho Đông Á Thanh Hóa và thắp lên hy vọng trụ hạng cho đội bóng này.
    15/03/2026
    TS Nguyễn Phi Hùng, giảng viên trường Đại học FPT được Stanford vinh danh vào top 2% nhà khoa học có ảnh hưởng toàn cầu.
    15/03/2026
    icon up